Nacional 100 Indecisos | El tenso momento entre Mosciatti y Eyzaguirre sobre la propiedad industrial ante eventual expropiación
Nacional Subsecretaria Paula Poblete asume como ministra subrogante de Desarrollo Social tras salida de Jeanette Vega
Nacional Ministro Marcel y precio de los combustibles: "Van a tender a estabilizarse y luego van a empezar a bajar"
Calidad de vida Nuevo estudio determinó que casi el 50% de las muertes por cáncer ocurren por factores de riesgo que se pueden evitar
Nacional Gobierno desmiente que abogado querellante en caso Llaitul defienda al líder de la CAM en otra causa
Mundo Encuentran una serpiente gigante ingresando por la ventana de una casa: "Se movía por todo el techo"
Calidad de vida Te molesta la mano y la muñeca: Así es cómo se siente el dolor provocado por el síndrome del túnel carpiano
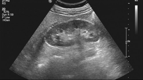
Mundo Fue a realizarse una ecografía para después operarse y los doctores descubrieron que tenía 3 riñones
Nacional Felipe Berríos por acusaciones: "No he cometido los actos de significación sexual que las denunciantes describen"
Nacional Caso de joven baleado en La Serena: Detienen a mujer como tercera implicada por homicidio frustrado
Mundo "Podría salvar cientos de vidas": Hombre inglés que dejó a su esposa por joven ucraniana quiere ir a ayudar a la guerra
Nacional Oposición afirma que renuncia de ministra Vega era "lo mínimo": "Investigaremos y analizaremos acciones a seguir"
Calidad de vida Como en "Armageddon": Esta es la fecha en que la NASA pondrá a prueba el primer sistema de defensa planetaria